شنبه ۲۴ آبان ۱۴۰۴
15 Nov 2025
آرشیو مطالب
تماس با ما
دربارۀ ما
پيوندها
RSS
جستجوی پیشرفته
Toggle navigation
خانه
نفت
گاز
پالایش
پتروشیمی
سياست و نفت
بین الملل
نيرو و انرژی های نو
آب و محيط زيست
تاریخ نفت
کتابخانه
فراتر از نفت
عکس
اینفوگرافی
طنز و کاریکاتور
دربارۀ ما
تماس با ما
پناه صنعت پارت خلع ید شد
چندنرخی کردن بنزین، از چاله به چاه افتادن است!
خنجر ارز و طلا بر پیکر بورس
برآمده از صحرا، زندگینامه وزیر نفت سابق عربستان
انباشت یک میلیارد بشکه نفت روی دریاهای جهان
قاچاق سوخت بار دیگر در جنوب کرمان قربانی گرفت
پتروشیمی بزرگ اوره ساز و داستان خالی کردن بیموقع انبارهای اوره!
سالانه ۲۵ همت به درآمد نفت سپاهان افزوده می شود
سخنی با اراجیف نیوزها و باج بگیران تلگرامی در خصوص مدیرعامل بازداشتی!
۵ دلیل برپایی نامناسب نمایشگاه صنعت ۱۴۰۴
جستجو
ويديو
فراتر از نفت
۰
تاریخ انتشار
شنبه ۲۵ مرداد ۱۳۹۹ - ۱۲:۴۷
کد مطلب :
۱۲۶۶۱۴
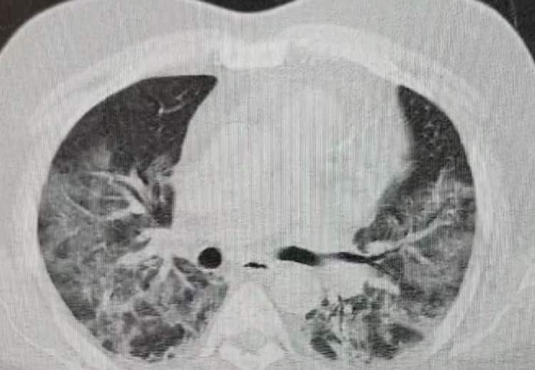
ریه فردی که به کرونا مبتلا شده چگونه است؟
اشتراک گذاری :
فایل ویدیو
اشتراک گذاری :
کرونا
ارسال نظر
نام شما
آدرس ايميل شما
کد امنيتی
ارسال نظر
پربیننده ترین
۱
بازداشت مدیرعامل یکی از پتروشیمیها پس از برکناری
۲
حسن نشان زاده، مدیرعامل بیدبلند خلیجفارس شد
۳
بلاتکلیفی مدیریتی در شرکتهای بزرگ و بورسی تاپیکو
۴
ایران، قربانی بوروکراسی و بیعملی
۵
جان باختن جوان اهوازی که خودسوزی کرده بود
۶
تکذیب ادعای کشف ۷۴ جسد در سد کرج
۷
سخنی با اراجیف نیوزها و باج بگیران تلگرامی در خصوص مدیرعامل بازداشتی!
۸
لیدر گردهمایی انتخاباتی برای قالیباف و جلیلی، مدیرعامل یکی از شرکت های هلدینگ خلیج فارس شد!
۹
اجرای فشار افزایی پارس جنوبی قطعی و اجتناب ناپذیر است
۱۰
واحد الفین پتروشیمی بوشهر وارد مرحله راه اندازی شد
پربحث ترین
۱
چگونه استعفای مدیرعامل پتروشیمی کرمانشاه به نخبه کشی تبدیل شد؟!
(۱۰ نظر)
۲
یک کشف بزرگ: رابطه لر بودن و میزان تولید نفت!
(۷ نظر)
۳
داستان دختر نمایندهای که مشاور وزیر شد!
(۶ نظر)
۴
خواهرزاده شیخ موسی سرپرست پتروشیمی پادجم شد!
(۵ نظر)
۵
کمیسیون انرژی را به طرف روسیه خواهی هل ندهید!
(۵ نظر)
یادداشت
ایران، قربانی بوروکراسی و بیعملی
شیدا آریایی پور
افزایش قیمت بنزین؛ مردم میپرسند: با کدام روش؟!
میثم قدیری
اصلا چرا دلار مسافرتی؟!
مهدی قدیری